1. 말초혈액 도말 검사의 원리와 임상적 중요성
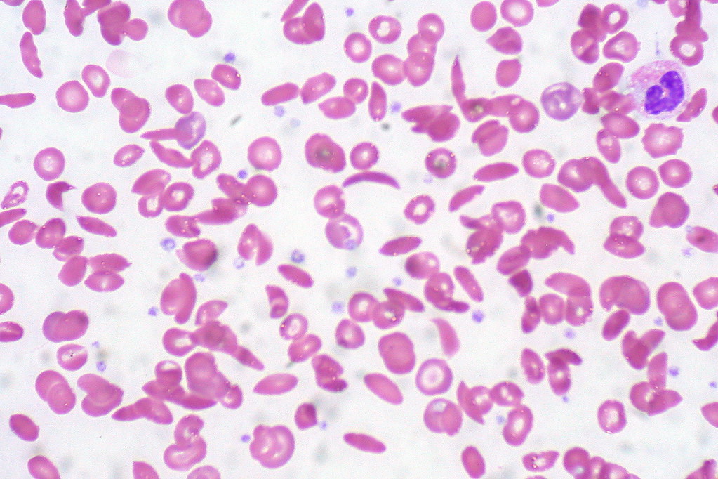
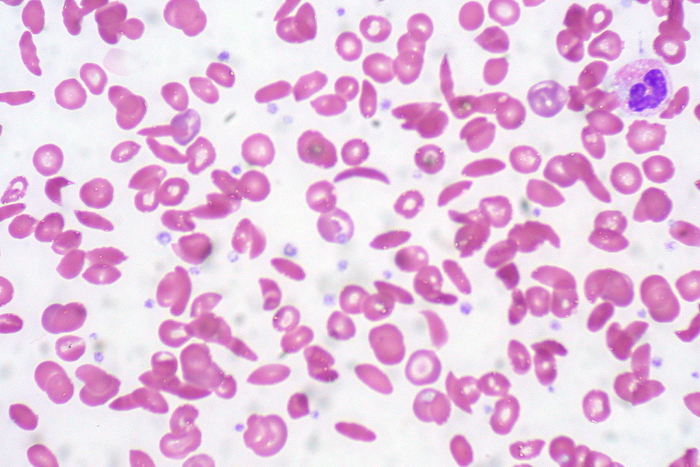
말초혈액 도말 검사는 혈액 내 세포의 형태학적 이상을 직접 관찰하여 다양한 혈액 질환을 진단하는 데 필수적인 검사입니다.
이 검사는 자동혈구분석기에서 확인할 수 없는 세포의 미세한 형태 변화를 파악할 수 있어, 특히 백혈구(WBC) 이상 감별에 큰 역할을 합니다.
슬라이드에 소량의 혈액을 얇게 펴고 Wright-Giemsa 염색을 한 뒤, 현미경으로 관찰하면 각 백혈구의 크기, 핵의 모양, 세포질의 색과 과립 등 다양한 세포학적 특징을 평가할 수 있습니다.
말초혈액 도말 검사는 급성 감염, 만성 염증, 혈액암(백혈병, 림프종), 골수이형성증후군(MDS) 등에서 백혈구의 비정상적 변형을 조기에 발견하는 데 매우 유용합니다. 또한, 약물 부작용, 자가면역질환, 패혈증 등 다양한 임상 상황에서 백혈구의 반응성 변화를 평가할 수 있습니다. 최근에는 COVID-19와 같은 신종 감염 질환의 혈액학적 영향 모니터링에도 활용되고 있습니다.
| 급성 감염증 | 독성 과립, Döhle 소체, 좌방이동 등 |
| 혈액암 | 백혈병 세포, Auer 소체, 스머지 세포 등 |
| 만성 염증/자가면역 | 반응성 림프구, 과분엽 호중구 등 |
| 약물 부작용 | 핵 이상, 공포포 등 |
임상 사례: 38세 남성, 고열과 관절통으로 내원. CBC상 백혈구 증가, 도말 검사에서 호중구 독성 과립과 Döhle 소체 다수 관찰. 세균성 패혈증 진단 후 항생제 치료로 호전.
2. 정상 백혈구의 형태학적 특징과 분류
정상 백혈구는 호중구, 림프구, 단핵구, 호산구, 호염구로 나뉘며, 각각 고유한 형태와 기능을 가집니다.
호중구는 2~5개의 분엽 핵과 연분홍색 미세 과립을 가지며, 급성 감염 시 가장 먼저 반응하는 세포입니다. 림프구는 크기가 작고, 핵이 크고 둥글며 세포질이 좁은 것이 특징입니다. 단핵구는 콩팥형(신장형) 핵과 넓은 회청색 세포질을 가집니다. 호산구는 2엽 핵과 주황색의 굵은 과립, 호염구는 S자형 핵과 자주색 과립을 보입니다.
| 호중구 | 2~5분엽 핵, 연분홍 과립 | 40~70% |
| 림프구 | 원형 핵, 좁은 세포질 | 20~40% |
| 단핵구 | 콩팥형 핵, 회청색 세포질 | 2~8% |
| 호산구 | 2엽 핵, 주황 과립 | 1~6% |
| 호염구 | S자형 핵, 자주 과립 | 0~1% |
정상 백혈구의 형태를 정확히 이해하는 것은 이상 형태를 감별하는 데 필수적입니다.
예를 들어, 호중구의 분엽 수가 5개 이상이면 과분엽 호중구로 간주하며, 이는 비타민 B12 또는 엽산 결핍의 신호일 수 있습니다. 림프구는 소형(성인에서 흔함)과 대형(반응성 림프구, 감염 시 증가)으로 구분할 수 있습니다.
단핵구는 만성 감염, 결핵, 말라리아 등에서 증가할 수 있으며, 형태 변화도 동반됩니다.
3. 이상 백혈구 형태의 종류와 임상적 의미
백혈구의 이상 형태는 다양한 질환의 진단 및 예후 평가에 중요한 단서를 제공합니다.
호중구의 대표적 이상은 독성 과립(Toxic Granulation), Döhle 소체, 좌방이동(Left Shift), 과분엽(Hypersegmentation) 등이 있습니다. 독성 과립은 세포질 내 과립이 거칠고 진하게 보이는 현상으로, 중증 세균 감염, 패혈증, 심한 염증에서 흔히 관찰됩니다. Döhle 소체는 세포질 내 청색 소체로, 급성 감염, 화상, 임신, 백혈병 등에서 나타날 수 있습니다. 좌방이동은 미성숙 호중구(밴드 세포)의 증가로, 급성 감염이나 골수의 반응성 증가를 시사합니다. 과분엽 호중구는 5개 이상의 분엽 핵을 가진 세포로, 거대적혈모구빈혈(비타민 B12, 엽산 결핍)에서 특징적으로 보입니다.
림프구의 이상 형태로는 **반응성 림프구(large atypical lymphocyte)**와 **스머지 세포(smudge cell)**가 있습니다. 반응성 림프구는 세포질이 확장되고, 핵이 불규칙하며, 주로 바이러스 감염(EBV, CMV, 간염 등)에서 증가합니다. 스머지 세포는 만성 림프구성 백혈병(CLL)에서 흔히 보이는 파괴된 림프구로, 진단의 중요한 단서입니다.
단핵구의 이상은 비정상 과립화와 **공포포(vacuolization)**가 있으며, 만성 감염, 결핵, 말라리아, 패혈증, 중금속 중독 등에서 관찰됩니다.
기타 특이 형태로는 Pelger-Huet 이상(핵이 2엽 이하, 골수이형성증후군 등에서), Auer 소체(급성 골수성 백혈병에서 적립 모양 과립)이 있습니다.
| 독성 과립 | 세균 감염, 패혈증 | 중증 감염, 예후 불량 |
| Döhle 소체 | 급성 감염, 백혈병 | 염증성 반응, 조직 손상 |
| 좌방이동 | 급성 감염, 골수 반응 | 미성숙 세포 증가 |
| 과분엽 호중구 | 거대적혈모구빈혈 | 비타민 B12/엽산 결핍 |
| 반응성 림프구 | 바이러스 감염 | 면역 활성화 |
| 스머지 세포 | 만성 림프구성 백혈병 | 진단적 단서 |
| Auer 소체 | 급성 골수성 백혈병 | 예후 불량 |
임상 사례:
- 55세 남성, 발열과 오한. 도말 검사에서 좌방이동과 독성 과립, Döhle 소체 동반. 혈액배양에서 그람음성균 확인, 패혈증 진단.
- 68세 여성, 만성 피로. 도말에서 스머지 세포 다수, 림프구 증식. 면역표현형 검사에서 CD5+, CD23+ 확인, CLL 진단.
4. 진단 프로토콜, 최신 기술 동향, 그리고 임상적 활용
말초혈액 도말 검사의 정확도와 신뢰성을 높이기 위해서는 표준화된 검사 프로토콜과 최신 기술의 활용이 필수적입니다.
검사 과정은 다음과 같습니다.
- 도말 제작: 슬라이드에 혈액을 얇게 펴고, Wright-Giemsa 염색을 실시합니다.
- 현미경 관찰: 100배(유침) 렌즈로 100~200개 이상의 백혈구를 분류하고, 이상 형태를 체계적으로 기록합니다.
- 이상 형태 평가: 세포 크기, 핵 구조, 세포질 변화, 과립의 색과 크기, 특이 소체(Auer, Döhle 등) 유무를 확인합니다.
- 임상 연계: CBC, 유세포분석기, 분자진단(NGS, PCR) 결과와 통합적으로 해석합니다.

| 도말 제작 | 슬라이드, 염색 | 두께 균일, 건조 시간 준수 |
| 관찰 | 100배 렌즈, 100개 이상 세포 | 세포 분포 불균일 주의 |
| 기록 | 이상 형태 체크리스트 | 위양성/위음성 방지 |
최신 동향으로는 디지털 현미경과 AI 기반 자동 판독 시스템이 도입되어, 이상 백혈구 형태를 신속하게 식별할 수 있습니다.
유세포분석기는 세포 표면 마커(CD13, CD19 등)와 형태학적 정보를 결합해 진단의 정확도를 높이고 있습니다.
NGS(차세대 염기서열분석)는 백혈병, MDS 등에서 유전자 변이(JAK2, FLT3 등)와 연계한 종합 진단에 활용됩니다.
'혈핵학' 카테고리의 다른 글
| 혈핵학-재생불량성 빈혈(AA) vs 골수이형성증후군(MDS) 감별 포인트 (0) | 2025.05.13 |
|---|---|
| 혈핵학-혈우병 A/B형의 응고인자 결핍 메커니즘과 유전 상담 (0) | 2025.05.12 |
| 혈핵학-혈소판 기능 검사(PFA-100)의 원리와 임상 적용 (0) | 2025.05.12 |
| 혈핵학-만성 림프구성 백혈병(CLL)의 Rai/Binet 병기 분류 체계 (3) | 2025.05.12 |
| 혈핵학-급성 백혈병의 FAB 분류 vs WHO 분류 비교 분석: 진단 체계의 진화와 임상적 의의 (0) | 2025.05.12 |
| 혈핵학-전염단핵구증과 림프구 증식질환의 감별 진단 (0) | 2025.05.12 |
| 혈핵학-자가면역 용혈성 빈혈에서 Coombs 검사의 역할과 한계 (0) | 2025.05.12 |
| 혈핵학-탈리세미아 진단을 위한 헤모글로빈 전기영동법 해석 가이드 (0) | 2025.05.11 |