1. 임상적 특징 비교: 증상, 징후, 역학
▶ 전염단핵구증(Infectious Mononucleosis, IM)
- 원인: Epstein-Barr virus(EBV) 초감염 (90% 이상), 드물게 CMV, HIV 등
- 주요 증상:
- 삼중 증상: 발열(38~40°C, 1~2주 지속), 심한 인후통(화농성 없음), 피로감(4주 이상 지속 가능)
- 림프절 종대: 양측성 경부 림프절(후부 우세), 압통 동반, 직경 2cm 이하
- 비장비대: 50%에서 발생, 비장 파열 위험(0.1~0.5%)
- 간염: 80~90%에서 AST/ALT 상승, 5%에서 황달
- 피부 발진: Ampicillin 투여 시 80%에서 발적성 발진
- 역학: 15~25세 청소년/청년층 호발, 90% 이상 성인에서 항체 양성

▶ 림프구 증식질환(LPD)
- 종류: 호지킨림프종, 비호지킨림프종(NHL), 만성 림프구성 백혈병(CLL) 등
- 주요 증상:
- B증상: 체중 감소(6개월 내 10% 이상), 야간 발한, 지속적 발열
- 림프절 종대: 무통성, 단단함, 서서히 증가, 복합 부위 침범(경부, 액와, 서혜부)
- 비장/간 비대: 40~60%에서 동반
- 혈액학적 이상: 빈혈, 혈소판 감소, 이상 림프구 증가
- 역학: 40세 이상 성인에서 호발, 면역억제 환자(이식 후, HIV)에서 위험도 ↑
특징전염단핵구증림프구 증식질환
| 발병 연령 | 15~25세 (청소년 중심) | 모든 연령(40세 이상 집중) |
| 림프절 특성 | 양측성, 압통, 이동성 유지 | 단일/다발성, 무통, 단단함, 주변 조직 침윤 |
| 발열 패턴 | 1~2주 후 서서히 호전 | 재발성/지속적, B증상 동반 |
| 혈액학적 소견 | 비정형 림프구 10~30% | 단일 클론성 림프구, 세포 이상 |
2. 검사실 및 영상 검사: 핵심 차이점
▶ 혈액검사
검사 항목전염단핵구증림프구 증식질환
| WBC | 림프구 증가(>50%), 단핵구증 | 림프구 증다증/감소증, 이상 세포 |
| 비정형 림프구 | 10~30% (대형, 세포질 확장) | 드물게 관찰(림프아세포 주목) |
| LDH | 정상/약간 상승(200~500 U/L) | 현저히 상승(>500 U/L, 종양 부하 반영) |
| EBV 항체 | VCA-IgM 양성, EBNA-IgG 음성 | EBNA-IgG 양성(재활성화 시) |
| Monospot | 70~90% 양성(2~6주) | 음성(EBV 관련 림프종 제외) |
Monospot 한계:
- 위음성: 4세 미만 소아(27~76% 감도), 감염 초기(1주 이내)
- 위양성: CMV, HIV, 자가면역질환(루푸스)에서 가능
▶ 영상 검사
- 초음파/CT:
- IM: 비장 비대(정상 2~3배), 림프절 직경 <2cm, 구조 보존
- LPD: 림프절 피하 침윤, 종괴 형성, 비장/간 종양 병변
- PET-CT:
- IM: SUVmax <5 (염증 반응)
- LPD: SUVmax >10 (악성 종양), Ki-67 지수와 양의 상관관계
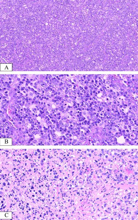
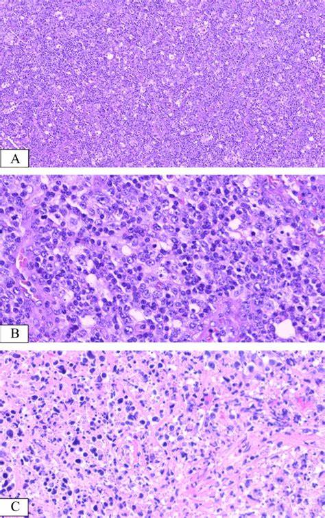
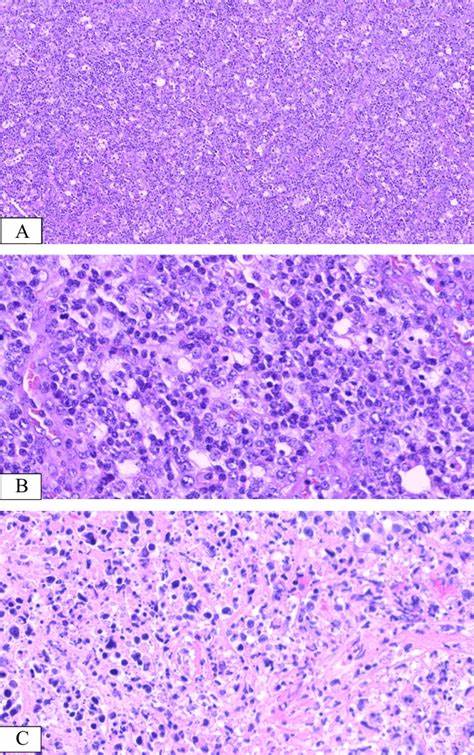
3. 조직병리학적 감별: 림프절/골수 검사
▶ 림프절 생검
특징전염단핵구증림프구 증식질환
| 세포 구성 | 반응성 CD8+ T세포 다수 | 단일 클론성 B/T세포 침윤 |
| 핵 형태 | 정상 림프구, 분화 완료 | 비정형(유사분열, 다형성) |
| 면역표현형 | CD3+, CD8+, CD20- | CD20+(B세포 림프종), CD30+(호지킨) |
| EBER ISH | 산발적 양성(EBV 감염 세포) | 집적적 양성(EBV 관련 림프종) |
▶ 골수 검사
- IM: 정상 조혈, 반응성 림프구 증가
- LPD: 림프아세포 침윤(>20%), 섬유화, t(14;18) 등 유전적 변이
4. 감별 진단 알고리즘: 3단계 접근
단계 1: 초기 평가
- 증상 확인: 발열 기간, 림프절 특성(압통 유무), B증상
- 혈액검사: WBC, 비정형 림프구, LDH, Monospot
- 영상 검사: 복부 초음파(비장 크기), PET-CT(SUVmax)
단계 2: 추가 검사
- IM 의심:
- EBV 항체 프로파일: VCA-IgM, VCA-IgG, EBNA-IgG
- EBV PCR: 혈청/타액에서 EBV DNA 정량
- LPD 의심:
- 림프절 생검: 조직학, 면역조직화학(CD20, CD30)
- 유세포분석기: CD5/CD19 동시 발현(CLL), CD30+(호지킨)
- 유전자 검사: IgH/TCR 유전자 재배열, FISH(t(11;14))
단계 3: 최종 판정
소견IMLPD
| EBV VCA-IgM | 양성(감염 초기) | 음성(EBV 림프종 제외) |
| 클론성 검사 | 음성 | 양성(IgH/TCR 재배열) |
| PET-CT SUVmax | <5 | >10 |
5. 오진 방지 전략: 주의해야 할 상황
- EBV 관련 림프종: NK/T세포 림프종, 버킷림프종에서 EBER ISH 양성 가능.
- 만성 활동성 EBV 감염: 6개월 이상 증상 지속 시 LPD 전환 위험 ↑.
- HIV 동반 감염: EBV 재활성화와 AIDS 관련 림프종(버킷림프종) 감별 필수.
- 약물 유발 림프증식: 페니토인, 메토트렉세이트 사용 환자에서 LPD 유사 증상.
임상 사례:
- 사례 1: 22세 남성, 인후통과 발열. VCA-IgM 양성, Monospot 양성 → IM 진단.
- 사례 2: 60세 여성, 무통성 액와 림프절 종대. 생검에서 CD20+, t(11;14) 확인 → 만트림프종 확진.
6. 최신 진단 기술 동향
- 액체 생검: 혈장 EBV DNA 정량으로 재발 모니터링, 종양 부하 평가.
- 디지털 병리: AI 기반 이미지 분석으로 림프절 세포 패턴 자동 분류(정확도 95%).
- NGS 패널: 50개 이상 유전자 변이 동시 검출(예: MYC, BCL2, TP53).
- 멀티오믹스: 유전체+단백체 통합 분석으로 표적 치료제 예측.
'혈핵학' 카테고리의 다른 글
| 혈핵학-재생불량성 빈혈(AA) vs 골수이형성증후군(MDS) 감별 포인트 (0) | 2025.05.13 |
|---|---|
| 혈핵학-혈우병 A/B형의 응고인자 결핍 메커니즘과 유전 상담 (0) | 2025.05.12 |
| 혈핵학-혈소판 기능 검사(PFA-100)의 원리와 임상 적용 (0) | 2025.05.12 |
| 혈핵학-만성 림프구성 백혈병(CLL)의 Rai/Binet 병기 분류 체계 (3) | 2025.05.12 |
| 혈핵학-급성 백혈병의 FAB 분류 vs WHO 분류 비교 분석: 진단 체계의 진화와 임상적 의의 (0) | 2025.05.12 |
| 혈핵학-말초혈액 도말 검사를 통한 백혈구 이상 형태 식별법 (0) | 2025.05.12 |
| 혈핵학-자가면역 용혈성 빈혈에서 Coombs 검사의 역할과 한계 (0) | 2025.05.12 |
| 혈핵학-탈리세미아 진단을 위한 헤모글로빈 전기영동법 해석 가이드 (0) | 2025.05.11 |