본문 바로가기

전체 글36

혈핵학-만성 림프구성 백혈병(CLL)의 Rai/Binet 병기 분류 체계 1. 만성 림프구성 백혈병의 개요와 병기 분류의 중요성만성 림프구성 백혈병(Chronic Lymphocytic Leukemia, CLL)은 성숙한 B림프구가 비정상적으로 증식하여 말초혈액, 골수, 림프절에 축적되는 혈액암입니다. CLL은 주로 55세 이상의 고령자에게 발생하며, 서구 사회에서는 가장 흔한 백혈병 유형으로 알려져 있습니다. 미국에서는 매년 약 21,000명의 새로운 환자가 진단받고 있으며, 이는 전체 백혈병 발생률의 약 30%를 차지합니다.병기 분류는 CLL 환자의 진단, 예후 예측, 치료 계획 수립에 필수적인 요소입니다. 정확한 병기 설정을 통해 의료진은 환자의 질병 진행 상태를 객관적으로 평가하고, 적절한 치료 시기를 결정할 수 있습니다. CLL 병기 분류에는 두 가지 주요 시스템이 사.. 2025. 5. 12.
혈핵학-급성 백혈병의 FAB 분류 vs WHO 분류 비교 분석: 진단 체계의 진화와 임상적 의의 1. FAB 분류 체계의 역사와 주요 특징FAB(French-American-British) 분류는 1976년 도입된 형태학적 분류법으로, 골수와 말초혈액 도말 검사에서 관찰되는 세포 형태와 세포화학적 염색을 기반으로 AML을 M0부터 M7까지 8가지 아형으로 구분합니다. ▶ FAB 분류의 핵심 아형FAB 유형진단 기준임상적 특징M0미분화형MPO(미엘로퍼옥시다아제) 음성, 면역표현형 필수M3급성 전골수구성 백혈병t(15;17) 동반, DIC(파종성 혈관내 응고) 유발M4Eo호산구 증가형inv(16) 유전적 이상, 예후 양호장점:현미경 관찰만으로 신속한 진단 가능표준화된 프로토콜로 초기 치료 방향 설정 용이한계:유전적·분자적 정보 반영 부족예후 예측력 낮음(생존율 차이를 설명하지 못함)임상 사례: 45세.. 2025. 5. 12.
혈핵학-전염단핵구증과 림프구 증식질환의 감별 진단 1. 임상적 특징 비교: 증상, 징후, 역학▶ 전염단핵구증(Infectious Mononucleosis, IM)원인: Epstein-Barr virus(EBV) 초감염 (90% 이상), 드물게 CMV, HIV 등주요 증상:삼중 증상: 발열(38~40°C, 1~2주 지속), 심한 인후통(화농성 없음), 피로감(4주 이상 지속 가능)림프절 종대: 양측성 경부 림프절(후부 우세), 압통 동반, 직경 2cm 이하비장비대: 50%에서 발생, 비장 파열 위험(0.1~0.5%)간염: 80~90%에서 AST/ALT 상승, 5%에서 황달피부 발진: Ampicillin 투여 시 80%에서 발적성 발진역학: 15~25세 청소년/청년층 호발, 90% 이상 성인에서 항체 양성▶ 림프구 증식질환(LPD)종류: 호지킨림프종, 비호.. 2025. 5. 12.
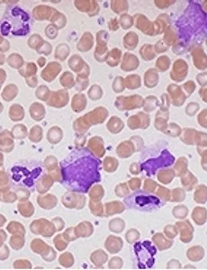
혈핵학-말초혈액 도말 검사를 통한 백혈구 이상 형태 식별법 1. 말초혈액 도말 검사의 원리와 임상적 중요성말초혈액 도말 검사는 혈액 내 세포의 형태학적 이상을 직접 관찰하여 다양한 혈액 질환을 진단하는 데 필수적인 검사입니다. 이 검사는 자동혈구분석기에서 확인할 수 없는 세포의 미세한 형태 변화를 파악할 수 있어, 특히 백혈구(WBC) 이상 감별에 큰 역할을 합니다.슬라이드에 소량의 혈액을 얇게 펴고 Wright-Giemsa 염색을 한 뒤, 현미경으로 관찰하면 각 백혈구의 크기, 핵의 모양, 세포질의 색과 과립 등 다양한 세포학적 특징을 평가할 수 있습니다. 말초혈액 도말 검사는 급성 감염, 만성 염증, 혈액암(백혈병, 림프종), 골수이형성증후군(MDS) 등에서 백혈구의 비정상적 변형을 조기에 발견하는 데 매우 유용합니다. 또한, 약물 부작용, 자가면역질환, .. 2025. 5. 12.
혈핵학-자가면역 용혈성 빈혈에서 Coombs 검사의 역할과 한계 1. 자가면역 용혈성 빈혈(AIHA)과 Coombs 검사: 원리와 임상적 기초자가면역 용혈성 빈혈(Autoimmune Hemolytic Anemia, AIHA)은 자기 면역계가 적혈구를 표적으로 삼아 파괴하는 질환입니다. AIHA는 온형(37°C에서 활성)과 냉형(4°C에서 활성)으로 나뉘며, 각각 IgG와 IgM 항체가 주로 관여합니다. 이때 적혈구 표면에 항체(주로 IgG, 드물게 IgM 또는 IgA)나 보체(Complement) 단백질이 결합하면, 비장이나 간의 대식세포가 이를 인식해 적혈구를 파괴합니다.Coombs 검사는 이런 항체나 보체 단백질의 존재를 확인하는 대표적인 혈액학적 검사입니다.직접 Coombs 검사(Direct Antiglobulin Test, DAT)는 환자의 적혈구에 결합된 항.. 2025. 5. 12.
혈핵학-탈리세미아 진단을 위한 헤모글로빈 전기영동법 해석 가이드 1. 헤모글로빈 전기영동법의 원리와 임상적 의의헤모글로빈 전기영동법(Hemoglobin Electrophoresis)은 혈액 내 다양한 헤모글로빈(Hb) 분획을 전기적 성질의 차이를 이용해 분리하는 검사입니다. 이 방법은 각 헤모글로빈 분자의 전하와 크기 차이에 따라 이동 속도가 달라지는 원리를 활용합니다. 대표적으로 HbA(정상 성인 헤모글로빈), HbA2, HbF(태아형 헤모글로빈), 그리고 비정상 헤모글로빈(HbS, HbC, HbE 등)을 구분할 수 있습니다. 전기영동은 알칼리성(pH 8.4) 또는 산성(pH 6.0) 환경에서 시행되며, 최근에는 고성능액체크로마토그래피(HPLC), 모세관전기영동(Capillary Electrophoresis) 등 자동화된 고정밀 분석법이 임상 현장에서 널리 활용되고.. 2025. 5. 11.